"Народный проект" собрал средства на реабилитацию еще двух бойцов. ФОТО
Волонтеры "Народного проекта" собрали необходимую сумму на лечение сразу двух бойцов в рамках проекта "Биотех-реабилитация раненых".
Об этом Цензор.НЕТ сообщили в "Народном проекте".Волонтеры отмечают, что за последние дни "Народный Проект" перечислил на счет клиники Іlaya, врачи которой ставят на ноги бойцов в рамках проекта, почти полтора миллиона гривен. Этими средствами полностью оплачены счета на лечение двух бойцов Романа (боец 28 ОГМБр) и Евгения (кадровый офицер, разведчик).

"Роман - один из наших самых тяжелых пациентов. У парня практически нет плеча - тело тяжело повредило близким взрывом мины. Обломки разорвали мышцы и кость, на данный момент у Романа фактически отсутствует плечевой сустав. Парень прошел через кому и около десятка операций в государственных и военных госпиталях, и единственное, что может предложить современная медицина дальше - искусственный сустав, артродез - жестко прификсированный остатки кости к лопатке, или даже ампутация. Конечно, ни при одном из вариантов речь о восстановлении совсем не идет. Теперь единственная надежда Романа - клеточные технологии, которые должны нарастить недостающие фрагменты суставных костей и вернуть парня к нормальной жизни" , - рассказывают они.
Волонтеры добавляют информацию о втором бойце:
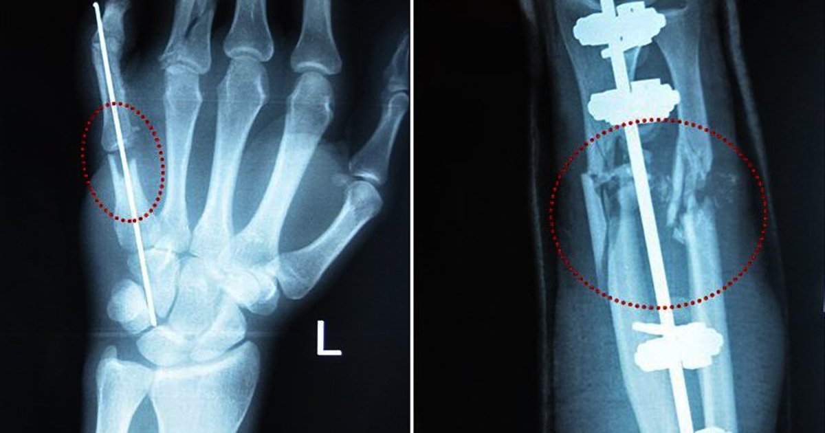
"Евгений же присоединился к проекту относительно недавно. У молодого разведчика тяжело повреждены обе руки и нога. Евгений прошел горячие точки фронта буквально на острие атаки. Во время очередного боя, где противником выступила морская пехота оккупанта, получил значительные ранения. Даже тяжело раненый мужчина пытался продолжить бой, и собратья силой вывели его из-под обстрела. На момент начала лечения Евгений имел повреждены связки правого колена, привычный вывих правого плеча, разбитое правое предплечье, были раздроблены кости левой кисти. В государственных больницах шла речь об ампутации пальцев и фиксировании переломов пластинами, и мужчина обратился к проекту "Биотех-реабилитация раненых".
Поддержать проект «Биотех-реабилитация раненых»:
ПриватБанк для переказу у гривнях
Миколаївський обласний благодійний фонд "РЕГІОНАЛЬНИЙ ФОНД БЛАГОЧЕСТЯ"
ПАО КБ ПриватБанк
ОКПО: 36143302
МФО: 326610
Рахунок: 26004053210825
Призначення платежу: Благодійний внесок. Біотех-реабілітація поранених
SWIFT-переказ у USD
Beneficiary: Mykolayiv Regional Charitable Foundation "Regional Foundation Blagochestya"
IBANcode: UA803266100000026009053209659
Account: 26009053209659
Beneficiary address: UA 54000, Mykolaiv, Buznyka str. 5, 118
Beneficiary bank: Privatbank
50, Naberezhna Peremogy Street, Dnipropetrovsk, 49094, Ukraine
Swift code: PBANUA2X
Intermediary bank: JP Morgan Chase Bank,New York ,USA
Swift code: CHASUS33
Correspondent account: 001-1-000080
Description: Charitable donation for 'Bioengineering rehabilitation for wounded' project
or
Intermediary bank: The Bank of New York Mellon, New York, USA
Swift code: IRVT US 3N
Correspondent account: 890-0085-754
Description: Charitable donation for 'Bioengineering rehabilitation for wounded' project
SWIFT-переказуEUR
Beneficiary: Mykolayiv Regional Charitable Foundation "Regional Foundation Blagochestya"
IBANcode: UA413266100000026009053206287
Account: 26009053206287
Beneficiary address: UA 54000, Mykolaiv, Buznyka str. 5, 118
Beneficiary bank: Privatbank
50, Naberezhna Peremogy Street, Dnipropetrovsk, 49094, Ukraine
Swift code: PBANUA2X
Intermediary bank: Commerzbank AG ,Frankfurt am Main, Germany
Swift code: COBADEFF
Correspondent account: 400886700401
Description: Charitable donation for 'Bioengineering rehabilitation for wounded' project.





Каждому своё.
Молодцы!
Хто побачить цю автівку, будь ласка, ввічливо поцікавтесь у водія, що саме він мав на увазі, і ще більш ввічливо порадьте йому шашечку перефарбувати.
эта новость мне нравится особенно на фоне новостей о награбленном нашими "слугами"...
https://www.facebook.com/volodymyr.pylypchuk.3#
ОСНОВОЮ ПРОГРАМИ ЦИХ БАНДИТІВ є цілеспрямоване ЗМЕНШЕННЯ НАСЕЛЕННЯ УКРАЇНИ В 6-8 РАЗІВ !?!?!? (ви тільки не лінуйтеся, а послухайте: цей бандит каже це прямим текстом)
Програма створення "дива України" за рахунок зменшення чисельності українців фінансується Фрідманом, Фельдманом, Фішманом і Фірташем. До складу розробників ввійшов відомий авантюрист і антиукраїнець Ігор Гекко. Програма « високо оцінена» російським експертом Михайлом Хазіним... http://volianarodu.org.ua/uk/Ekonomika-i-biznes/Programa-ekonomichnogo-vidrodzhennya-Ukrajiny-yaku-pyshut-7-cholovik-finansuyetsya-oligarchamy-i-pidtrymuyetsya-Baltserovychem-ViDEO
Збережіть це у своїй файлотеці. - для вироку майбутнього суду. Вся ця банда має зникнути з лиця землі України!!